Бережное лечение дёсен
с сохранением зубов даже в сложных случаях
Запишитесь на консультацию
Получите:
- развёрнутую консультацию у высококвалифицированного специалиста
- комплексный и финансовый план лечения в 2-х вариантах
*Консультация ни к чему не обязывает
Врачи со средним стажем от 15 лет
Современные, щадящие методы лечения
Диагностическое оборудование последнего поколения для точной постановки диагноза
Без боли и страха. На современном немецком и японском оборудовании
Лечим любые заболевания десен
Гингивит
Пародонтит
Пародонтоз
Периодонтит
Периостит
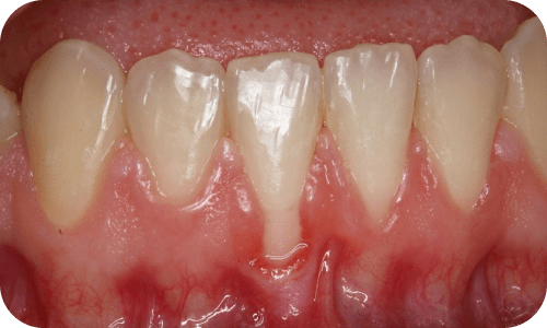
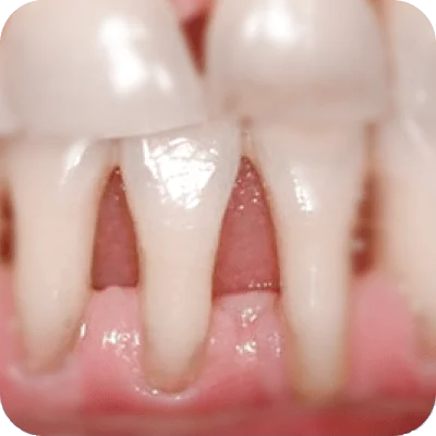
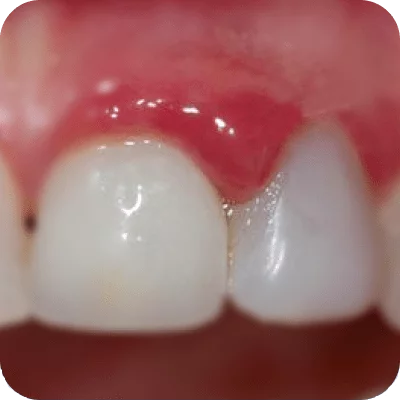
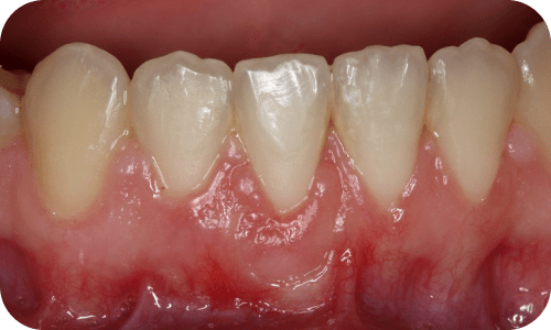
Посмотрите истории наших пациентов
Стоимость: 350.000₽
Срок: 1 месяц
Что было сделано:
Лечение пародонтита на нижней десне
Стоимость: 350.000₽
Срок: 1 месяц
Что было сделано:
Лечение пародонтита на нижней десне
Стоимость: 70.000₽
Срок: 3 сеанс
Что было сделано:
Лечение пародонтита на нижней десне
Стоимость: 350.000₽
Срок: 1 месяц
Что было сделано:
Лечение пародонтита на нижней десне
Стоимость: 160.000₽
Срок: 4 месяца
Что было сделано:
Лечение пародонтита на нижней десне
Стоимость: 300.000₽
Срок: 3 месяца
Что было сделано:
Лечение пародонтита на верхней десне
Мы даем расширенную гарантию, т.к. уверены в качестве материала и работы наших врачей
Если что-то случится — в тот же день примем вас
и устраним проблемы
Гарантия
на работу врача
Вы ничего не почувствуете
Используем европейскую анестезию последнего поколения
Гарантия безболезненности
Нажимая на кнопку, вы даете согласие на обработку своих персональных данных и соглашаетесь
с Политикой конфиденциальности
Запишитесь на консультацию, диагностику и осмотр к нашим врачам через форму на сайте
Вам позвонят в течение 15 минут, уточнят удобное время записи и ответят на имеющиеся вопросы
Имплантацию проводят врачи со стажем более 10 лет и прошедшие аттестацию в Европе
Соловьев Александр Валерьевич
Главный врач клиники. Врач-стоматолог, гнатолог, ортопед, хирург.
Преподаватель и лектор учебного центра "Новадент"
Тищенко Екатерина Валентиновна

Врач ортодонт, гнатолог, специалист по лечению пациентов с патологией височно-нижечелюстного сустава и зубочелюстных аномалий. Преподаватель и лектор учебного центра "Новадент"
Селицкая Снежана Михайловна
Врач хирург-пародонтолог, специалист по отбеливанию зубов.
Этиев Казбек Хаважаевич

Врач стоматолог-ортопед, гнатолог, специалист по цифровой стоматологии (Церек, 3shape ), специалист по лазерной стоматологии.
Корнякова Марина Дмитриевна

Врач стоматолог-терапевт, детский стоматолог, специалист по лазерной стоматологии.
Елисеева Тамара Анатольевна

Врач гигиенист, специалист по отбеливанию зубов.
Волкова Елена Андреевна

Врач ортодонт, специалист по лечению пациентов с патологией ВНЧС.
Посмотрите некоторые из них
Нас оценивают независимые интернет-ресурсы
Видеоотзывы\отзывы наших счастливых пациентов
Мы предлагаем выгодные цены на наши услуги
Установка виниров
от 20 000 до 60 000 рублей
Металлокерамическая коронка
от 18 300 рублей
Установка люминира на 1 зуб
38 000 рублей
Новейшие технологии, высокое качество материалов и лечения — то, за что нас ценят наши пациенты
Современный подход
Современное диагностическое оборудование от ведущих мировых поставщиков(США, Германия, Израиль, Япония)
Собственная лаборатория
Предлагаем вам самые выгодные цены.
Работаем только с качественными, проверенными на практике материалами.
Ждем вас в нашей клинике
Наши адреса
г. Санкт-Петербург, ул. Чехова, дом 7
График работы
с 9:00 до 21:00
г. Санкт-Петербург, ул. Фермское ш., 20 корп. 2
График работы
с 9:00 до 21:00
г. Санкт-Петербург, Басков пер., 3
График работы
с 9:00 до 21:00
Услуги стоматологии:
Клиника "Новадент"
ООО "Новадент"
ОГРН 1037843110865
ИНН 7825508944
КПП 784101001
ИМЕЮТСЯ ПРОТИВОПОКАЗАНИЯ, НЕОБХОДИМА КОНСУЛЬТАЦИЯ СПЕЦИАЛИСТА
Все права защищены. Обращаем ваше внимание на то, что данный Интернет-сайт носит исключительно информационный характер и ни при каких условиях не является публичной офертой, определяемой положениями Статьи 437 Гражданского кодекса РФ.
Наши социальные сети:
Лечение зубов
Удаление зубов
Лечение десен
Имплантация зубов
Протезированое зубов
Все зубы по методу «Все на 4-х»
Коронки
Виниры
Исправление прикуса
Отбеливание
Гигиеническая чистка
Диагностика