Лечение и чистка зубов и дёсен аппаратом ВЕКТОР
у пародонтолога
Запишитесь на осмотр врача-пародонтолога и получите:
Развёрнутую консультацию у высококвалифицированного специалиста

Комплексный и финансовый план лечения в 2-х вариантах
• Снимаем мягкий и твёрдый налет

• Лечим воспаление, укрепляем и восстанавливаем дёсны

• Останавливаем убыль объема десны
Пародонтологический центр со специализацией
на лечении дёсен, мягкотканной и костной пластике вокруг зубов и имплантатов
Режим работы: 9.00-21.00 без выходных
*доступна рассрочка
5 основных причин для срочного посещения врача-пародонтолога
Кровоточивость дёсен и боль в них
Что это?
Это признаки гингивита
Сильное воспаление дёсен с гноем или без
Что это?
Это признаки пародонтита
Оголение корня зуба
и убывание ткани десны,
застревание пищи в зубах
Что это?
Это признаки рецессии десны
Подвижность одного
или нескольких зубов
Что это?
Это следующая стадия разрушения десны и зубов.
Может привести к потере зубов
Воспаление и убыль десны вокруг импланта,
кровоточивость и гной
Что это?
Это периимплантит
Если не лечить дёсны, можно потерять даже здоровые зубы
Гингивит перейдет в пародонтит
Пародонтит спровоцирует рецессию десны, оголение корней зубов и их расшатывание
Шатающиеся зубы приведут к потери костной ткани и расшатыванию других зубов
Убывающая костная ткань не сможет удерживать зубы и они выпадут
Еще последствия заболеваний дёсен
Боль и неприятный запах изо рта
Ассиметрия лица, нарушения прикуса
Нарушение пережёвывания пищи и заболевания ЖКТ
Застревание пищи в зубах, чувствительность зубов
Сложно или невозможно установить импланты из-за нехватки костной ткани
Если после удаления зуба необходима имплантация, то из-за дефицита костной ткани имплантант не приживется, а протез будет выглядеть ненатурально и некрасиво. Любой стоматолог в протезировании вам откажет.
Сохраняем даже самые безнадежные зубы,
Соловьев Александр Валерьевич

Главный врач клиники. Врач-стоматолог, ортопед, хирург, имплантолог, гнатолог, пародонтолог. Преподаватель и лектор учебного центра "Новадент"
Специализация:
Ортопед, хирург, имплантолог, парондонтолог, гнатолог.
Не все клиники берутся за сложные случаи: нет опыта, нет оборудования, нет хирурга в штате.

Им проще удалить безнадёжный зуб.

У нас другой подход: мы боремся за каждый зуб
и в 95 случаев из 100 сохраняем его.

Запомните: родные зубы всегда лучше имплантов.
Если вам предлагают удалить зуб, не спешите.
Запишитесь на осмотр и узнайте, можно ли спасти зуб
которые другие стоматологи рекомендуют удалить
2 000
пациентов
с самыми сложными случаями за 2 последних года направили к нам из других клиник
10 000
ежегодно сохраненных зубов
которые рекомендовали удалять в других клиниках
> 4 000
реабилитированных пациентов
с заболеваниями дёсен
разной степени сложности
Вот, что говорят пациенты о нашей клинике и о наших врачах
Все отзывы взяты с независимых порталов и их сложно подделать
Случай из практики.
Наращивание десны
Часто наши пациенты спрашивают, через какое время после наращивания десна снова опустится вниз. С уверенностью могу сказать, что при соблюдении всех рекомендаций зубы, которые были уже на грани удаления, будут служить пациенту всю жизнь!

Пациентку (Екатерина, 55 лет) в нашу клинику отправили из другой клиники наши коллеги. Цель — вылечить и нарастить десну перед протезированием зубов.

Это был непростой клинический случай с наращиванием десны
в эстетически значимой зоне.

На фотографиях исходное состояние, состояние спустя год после наращивания и 5 лет после наращивания. Результат стабилен.
Десна после наращивания никогда не опустится, если пациент соблюдает все рекомендации врача: приходить на регулярные профилактические осмотры.
Главный врач клиники. Врач-стоматолог, ортопед, хирург, имплантолог, гнатолог, пародонтолог.
Соловьев Александр Валерьевич
Без лечения дёсен нельзя лечить зубы и протезировать
Соловьев Александр Валерьевич
Главный врач клиники. Врач-стоматолог, ортопед, хирург, имплантолог, гнатолог, пародонтолог. Преподаватель и лектор учебного центра "Новадент"
Пародонтит не бывает сам по себе. Часто у пациента уже стоят коронки и старые пломбы, которые вызывают прогрессирование пародонтита.

Чтобы вылечить пародонтит, недостаточно пролечить только десну, нужно заменить старые коронки и пломбы.

Для этого нужна полноценная команда из ортопеда, ортодонта, терапевта, пародонтолога. У нас комплексный подход, и в клинике есть все необходимое для полноценного лечения.
Запишитесь на первичный осмотр и узнайте, есть ли у вас заболевания дёсен
результат будет временным или совсем бесполезным
Лечим сопутствующие заболевания зубов и дёсен на любой стадии
для этого у нас есть все специалисты и необходимое оборудование
Елисеева Тамара Анатольевна
Врач гигиенист, специалист по отбеливанию зубов.
Специализация:
Стоматолог-гигиенист
СТАЖ работы 18 лет
СТАЖ работы 29 лет
Специализация:
Стоматолог-имплантолог, гнатолог, стоматолог-ортопед, стоматолог-хирург, челюстно-лицевой хирург
Главный врач клиники. Врач-стоматолог, ортопед, хирург, гнатолог.
Соловьев Александр Валерьевич
Тищенко Екатерина Валентиновна
Врач ортодонт, гнатолог, специалист по лечению пациентов с патологией височно-нижечелюстного сустава и зубочелюстных аномалий.
Специализация:
Стоматолог-ортодонт, гнатолог
СТАЖ работы 22 лет
Селицкая Снежана Михайловна
Врач хирург-пародонтолог, специалист по отбеливанию зубов.
Специализация:
Стоматолог-хирург, пародонтолог, стоматолог-гигиенист
СТАЖ работы 23 лет
Этиев Казбек Хаважаевич
Врач стоматолог-ортопед, гнатолог, специалист по цифровой стоматологии (Церек, 3shape ), специалист по лазерной стоматологии.
Специализация:
Стоматолог-ортопед, гнатолог
СТАЖ работы 14 лет
Корнякова Марина Дмитриевна
Врач стоматолог-терапевт, детский стоматолог, специалист по лазерной стоматологии.
Специализация:
Детский, взрослый стоматолог
СТАЖ работы 8 лет
Запишитесь на осмотр и узнайте точно, в каком состоянии ваши дёсны и зубы
Мы перезвоним через 15 минут и подберем удобное время
Что будет на осмотре?
• Полное обследование полости рта и диагностика. При необходимости сделаем рентгеновские снимки и фотографии прямо в нашей клинике

• Составление подробного поэтапного плана лечения

• План лечения в 2-х вариантах
Строго контролируем каждый этап лечения
Проводим комплексное обследование для точного диагноза и обязательно проконтролируем кровяное давление
Вы точно знаете, что мы делаем на каждом этапе и для чего
Ведем фотопротокол

и объясняем, какие манипуляции производим и для чего они нужны

подробнее
Делаем снимки до и после лечения
и избегаем любых ошибок в постановке диагноза

подробнее
Лечение абсолютно безболезненно!

При необходимости проводим лечение «во сне» — вы ничего не почувствуете даже
при сложных хирургических вмешательствах
Используем микроскоп Carl Zeiss, увеличивает рабочую область в 25 раз с визуализацией мельчайших деталей

Он есть не во всех клиниках
подробнее
Главный врач контролирует лечение каждого пациента

знает историю болезни, проверяет снимки, фотопротоколы
Помогает выявить серьезные противопоказания к тем или иным методам лечения, проконтролировать процесс лечения, обнаружить скрытые патологические процессы и травмы, оценить состояние костной ткани и поставить вам точный диагноз.
С его помощью очень точечно убираем инфицированные ткани и не трогаем здоровые. Последующие заживление происходит быстро и без проблем.

Незаменим в микрохирургии и при использовании тончайшего шовного материала.

Максимальная точность и минимальная травматичность. Быстрое восстановление после любого вмешательства.
Вы наглядно увидите, что происходит на каждом этапе.

Промежуточные и конечные результаты становятся предсказуемыми.

Вы понимаете, что уже исправлено, а над чем еще нужно работать.

Снимаем на камеру с круговой вспышкой, чтобы избежать затемнения и плохой видимости труднодоступных мест.
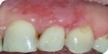
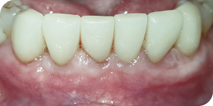
Случай из практики.
Лечение пародонтита
Пациентка (Ольга, 38 лет) обратилась в нашу клинику с жалобами на боль в дёснах, подвижность зубов, неприятный запах изо рта.
Мы провели полную диагностику. Диагноз — хронический генерализованный пародонтит средней степени тяжести. Выявлены проблемы: подвижность зубов 1-й степени, пародонтальные карманы более 5 мм, убыль костной ткани на 1/2 длины корня зуба.

Пародонтит — это воспалительные поражение окружающих тканей зуба, проникающее глубоко под десну. Воспаление вызывает разрушение костной ткани и связок зуба. На исходном фото это хорошо видно.

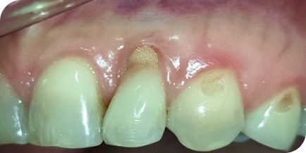
Провели консервативную пародонтологию и кюретаж зубодесневых карманов без разрезов и без швов.

Через 10 дней провели повторную чистку и полировку.

У пациента болей в десне больше нет, пародонтальные карманы отсутствуют, подвижность зубов отсутствует, убыли костной ткани больше нет, неприятный запах изо рта больше не наблюдается.

ВАЖНО! Успех лечения пародонтита во многом зависит от того,
на какой стадии вы обратились и вашей способности пересмотреть
и улучшить гигиену полости рта.
Исходное состояние
Главный врач клиники. Врач-стоматолог, ортопед, хирург, имплантолог, гнатолог, пародонтолог.
Соловьев Александр Валерьевич
убирает микробный налет струей из смеси глицина и кислорода, не повреждая эмаль
убирает наддесневой и поддесневой зубной камень — основную причину разрушения костной ткани
предотвращает быстрое образование зубного камня в дальнейшем
антибактериальная терапия и восстановление здорового цвета десны
устранение микробной прослойки между корнем зуба и десной для плотного прилегания десны к корню
подтягивание ткани десны для полного закрытия десной уязвимого корня зуба
собственной десневой тканью-трансплантантом для локального восполнения дефицита мягкой ткани десны
восполнение явного дефицита костной ткани для удержания собственных зубов или дальнейшей запланированной имплантации. При наращивании кости используем Bio-Oss — натуральный материал с высокой приживляемостью и способностью к регенерации
соединение зубов с помощью тончайшей ленточки; зубы становятся неподвижными и прекращают расшатываться; риск выпадения зуба снижается
Беспроцентная рассрочка на лечение от нашей клиники
Составляем план лечения и в каждом индивидуальном случае обговариваем возможность лечения в рассрочку
без банков и справок
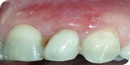
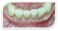
Случай из практики.
Наращивание десны
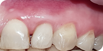
Пациент обратился с жалобами на оголенный корень зуба, повышенную чувствительность, на неэстетический вид зуба, так как зуб стал выглядеть длиннее, чем раньше.

После обследования поставили диагноз — рецессия десны.
Это патологическое состояние, при котором десна опускается вниз, корень зуба оголяется, появляется чувствительность зуба, эстетический дефект и возрастает риск развития другого патологического состояния — кариеса корня. В свою очередь, кариес корня — это показание к удалению зуба.

В данном клиническом случае провели микрохирургическую операцию по наращиванию десны с применением специального микроскопа. Это дало хороший, долгосрочный прогнозируемый результат.

ВАЖНО! Нужно понимать, что не у каждого оголенного корня можно нарастить десну. Ключевой фактор — стадия, на которой вы обратились. Есть стадии, на которых это невозможно, и единственным вариантом является УДАЛЕНИЕ ЗУБА!
Главный врач клиники. Врач-стоматолог, ортопед, хирург, имплантолог, гнатолог, пародонтолог.
Соловьев Александр Валерьевич
Исходное состояние
Запишитесь на осмотр и узнайте точно, в каком состоянии ваши дёсны и зубы
Мы перезвоним через 15 минут и подберем удобное время
Что будет на осмотре?
• Полное обследование полости рта и диагностика. При необходимости сделаем рентгеновские снимки и фотографии прямо в нашей клинике

• Составление подробного поэтапного плана лечения

• План лечения в 2-х вариантах
Проверьте, здоровые ли у вас дёсны
Цвет
перед зеркалом с хорошим освещением
У здоровой десны ровный бледно-розовый цвет
Повод обратиться к пародонтологу:
Любые покраснения или посинения участков
слизистых оболочек
Размер
Здоровая десна не имеет припухлостей, не увеличена в размерах
Повод обратиться к пародонтологу:
Увеличение или, наоборот, убывание десны и оголение корня зуба
Консистенция
Здоровая десна плотная, упругая
Повод обратиться к пародонтологу:
Рыхлость и кровоточивость десен
Если у вас есть один из несколько симптомов, а также боль или любой дискомфорт, запишитесь на консультацию врача-пародонтолога
Компания со 100-летней историей. Оборудование KaVo — это золотой стандарт в стоматологии с собственными разработками и патентами
Высокоточный и надёжный аппарат с нетравматичным воздействие на дёсны и зубы
С самой минимальной лучевой нагрузкой
С самой минимальной лучевой нагрузкой
Увеличивает рабочую область в 25 раз!
Незаменим в микрохирургии и при использовании тончайшего шовного материала.
Максимальная точность и минимальная травматичность. Быстрое восстановление после любого вмешательства.
Безупречное оборудование для точных и надёжных движений во время лечения
Качественные высокотехнологичные инструменты для микрохирургических операций. Каждый инструмент затачивают и шлифуют вручную на оборудовании
за 2 года провели 500 образовательных мероприятий и мастер-классов на базе клиники
постоянно повышаем квалификацию сами и обучаем других стоматологов
Остались вопросы?
Отправьте заявку,
мы перезвоним вам через 15 минут
Контакты:
Телефон:
E-mail:
Часы работы:
9.00-21.00
без выходных
Адрес:
Ул. Чехова, дом 7 (м. Маяковская) Санкт-Петербург
Адрес:
Фермское ш., 20 корп. 2
(м. Удельная) Санкт-Петербург
Адрес:
Басков переулок, 3,
Санкт-Петербург
Телефон:
Телефон:
Часы работы:
9.00-21.00
без выходных
Часы работы:
9.00-21.00
без выходных
Соловьев Александр Валерьевич
Главный врач клиники. Врач-стоматолог, ортопед, хирург, имплантолог, гнатолог, пародонтолог. Преподаватель и лектор учебного центра "Новадент"
Сертификаты
Опыт работы: более 28 лет
  • Выпускник Воронежского Государственного Медицинского Института по специальности «стоматология».
  • Окончил Воронежскую Медицинскую Академию по специальности «стоматолог-ортопед».
  • Санкт-Петербургская Медицинская Академия Последипломного Образования, специальность «хирургическая стоматология».
  • Санкт-Петербургская Медицинская Академия Последипломного образования, специальность «терапевтическая стоматология».
  • Обучение в NYU Dentistry College (Нью-Йоркский Университет Дантистов, США).
  • С отличием окончил Steinbeis-Transfer-Institut Biotechnology (Штутгарт, Германия).
Тищенко Екатерина Валентиновна
Врач ортодонт, гнатолог, специалист по лечению пациентов с патологией височно-нижечелюстного сустава и зубочелюстных аномалий.

Преподаватель и лектор учебного центра "Новадент"
Сертификаты
Опыт работы: 22 года
  • Окончила Ставропольскую государственную медицинскую академию. Прошла интернатуру по специальности «стоматология» на базе Северо-Осетинской государственной медицинской академии. Проходила обучение в клинической ординатуре по специальности «ортодонтия» на кафедре ортодонтии Санкт-Петербургской государственной медицинской академии последипломного образования. С 2003 года работает в стоматологической клинике «Новадент» в качестве врача-ортодонта.
  • Повышение квалификации: прошла сертификацию по работе с лингвальной брекет-системой «Incognito». Регулярно принимает участие в различных учебных семинарах и симпозиумах по специальности, проводимых в России и за рубежом. Является членом профессионального общества ортодонтов России.
  • С отличием окончила Steinbeis-Transfer-Institut Biotechnology (Штутгарт, Германия).
Селицкая Снежана Михайловна
Врач хирург-пародонтолог, специалист по отбеливанию зубов.
Сертификаты
Опыт работы: более 23 лет
  • Окончила Миасское медицинское училище по специальности стоматология.
  • Ординатура в Военно-медицинской академии по специальности хирургическая стоматология.
  • Работала в государственной поликлинике зубным врачом.
  • Прошла курс усовершенствования квалификации по современным методам диагностики в зубоврачевании, терапия зубов и слизистой оболочки полости рта, хирургия зубов и слизистой оболочки полости рта, инфекционная безопасность и инфекционный контроль.
  • Прошла обучение по теме “Терапия заболеваний пародонта аппаратом ВЕКТОР”, по теме «Лечение кариеса методом icon» , курс «Отбеливание системой Beyond», по теме «Лазерная пародонтология»
  • Окончила институт «Реавиз».
  • В настоящее время проходит ординатуру в Военно-медицинской Академии по специальности хирургическая стоматология.
Этиев Казбек Хаважаевич
Врач стоматолог-ортопед, гнатолог, специалист по цифровой стоматологии (Церек, 3shape ), специалист по лазерной стоматологии.
Сертификаты
Опыт работы: более 13 лет
  • Прошел программу повышения квалификации в Санкт-Петербургском институте стоматологии, присвоена специальность «Стоматология».
  • Прошел обучение в г. Москве по программе CAD-CAM technology the CEREC SD – Method Full-Ceramic Computer.
  • Прошел обучение по теме «Лазерная стоматология»
  • Прошел обучение в институте повышения квалификации специалистов «Санкт-Петербургский Институт Стоматологии» по программе «Стоматология»
  • Прошел обучение по теме «Базовый курс по протезированию на имплантатах»
Корнякова Марина Дмитриевна
Врач стоматолог-терапевт, детский стоматолог, специалист по лазерной стоматологии.
Опыт работы: более 8 лет
Окончила Санкт-Петербургский государственный медицинский университет им. акад. И.П. Павлова. Врач-стоматолог по специальности «стоматология».
Прошла обучение по темам
  • «Восстановление анатомической формы передней и боковой группы зубов в эстетической реставрации»
  • «Новые технологии в эндодонтии, предлагаемые компанией Sybron Endo»
  • «Основные закономерности цветопередачи про реставрации передней группы зубов»
Елисеева Тамара Анатольевна
Врач гигиенист, специалист по отбеливанию зубов.
Окончила Санкт -Петербургский Медицинский колледж №3.
Курсы повышения квалификации:
  • Лектор доктор Шедельмаер (Германия — Чехия ) обучение iTOP “ Индивидуальное обучение гигиене полости рта. Инновационный подход к чистке зубов. Мотивация и конроль личной гигиены полости рта. ».
  • Лектор Михеева Ю.Б « Неотложные состояния в кресле стоматолога».
  • Лектор Осипова Ю.М « Семинар и мастер-класс по эффективному и безопасному проведению процедуры клинического отбеливания ».
  • Семинар « ICON – infiltrationConcept» ( методика инфильтраци кариеса ).
  • Лектор Трофимова Ю.Г « Принципы профилактики периимплантита с использованием современных технологий ».
  • Лектор Волкова Ю.В ( Институт Стоматологии ) « Современные технологии профессиональной гигиены полости рта ».
  • Лектор Кандаурова К.В ( Институт Стоматологии ) « Пародонтальная терапия ».
  • Лектор Шульга Е.В « Применение аппарата VECTOR на пародонтологическом приеме ».
Специализация и методики:
  • составление индивидуальной программы комплексного ухода за полостью рта
  • определение индекса гигиены
  • разьяснение техники чистки зубов
  • реминерализация (обогащение кальцием) эмали и ее укрепление фторсодержащими препаратами
  • снятие зубных отложений (камней)
  • снятие пигментрованных налетов
  • гигиена имплантов
  • отбеливаниезубов( ZOOM, OPALESCENSE, BEYOND POLUS, LOOMA COOL )
  • герметизация эмали
  • работа на аппарате VECTOR
  • лечение кариеса по технологии ICON
Сертификаты
Опыт работы: более 17 лет